الرئيسية
من نحن
الأقسام
خدماتنا
تواصل معنا
العودة إلى خدماتنا
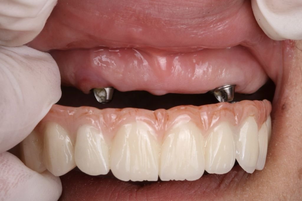
زراعة الاسنان
زراعة الاسنان بيد دكتور محمد زكي
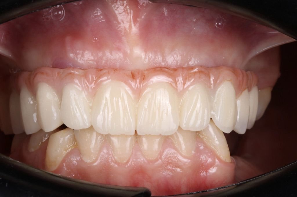
صور الحالات والنتائج